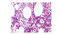
Los cuerpos de Russell son grandes inclusiones homogéneas, de aspecto redondeados y eosinofílicas producidas por la acumulación de inmunoglobulinas recién sintetizadas, en el retículo endoplasmático rugoso de algunas células plasmáticas. Es un tipo celular encontrado en el mieloma múltiple.[1]
Referencias



